Connect With Us

Bunions are bony protrusions at the base of the big toe that can not only be unsightly, but also painful. Managing bunions involves a combination of self care and professional guidance. Begin by wearing well-fitting shoes with ample room for your toes and avoiding high heels and pointy shoes that exacerbate pressure on the bunion. Taking over-the-counter pain relievers can provide temporary relief. Wearing custom orthotic inserts can alleviate discomfort by redistributing pressure. Regularly performing gentle toe stretches and exercises can improve flexibility and strength. In severe cases, surgical intervention may be considered. With a proactive approach, you can successfully manage bunions and maintain your foot health. If the bunion causes persistent pain or interferes with daily activities, it is suggested that you consult a podiatrist who can offer you additional relief and treatment methods.
If you are suffering from bunions, contact Emmanuel Bustos, DPM of New York. Our doctor can provide the care you need to keep you pain-free and on your feet.
What Is a Bunion?
A bunion is formed of swollen tissue or an enlargement of boney growth, usually located at the base joint of the toe that connects to the foot. The swelling occurs due to the bones in the big toe shifting inward, which impacts the other toes of the foot. This causes the area around the base of the big toe to become inflamed and painful.
Why Do Bunions Form?
Genetics – Susceptibility to bunions are often hereditary
Stress on the feet – Poorly fitted and uncomfortable footwear that places stress on feet, such as heels, can worsen existing bunions
How Are Bunions Diagnosed?
Podiatrists often perform two tests – blood tests and x-rays – when trying to diagnose bunions, especially in the early stages of development. Blood tests help determine if the foot pain is being caused by something else, such as arthritis, while x-rays provide a clear picture of your bone structure to your provider.
How Are Bunions Treated?
If you have any questions, please feel free to contact our office located in the Upper West Side and New York City, NY . We offer the newest diagnostic and treatment technologies for all your foot care needs.

More people are using trampolines for fun and exercise, and this has led to more injuries, especially in children. Many of these injuries are broken bones in the legs. Little kids are at higher risk because they are still learning to balance. Some safety measures like padding and nets are used, but they have not stopped the injuries much. To be safer, it's recommended to have only one person jumping at a time, avoid doing flips, and have someone watching. Many injuries happen when multiple people jump together. Sometimes, bigger people on the trampoline can make smaller ones go too high, leading to hard falls. Some broken bones can lead to long-term problems. Special ankle injuries in young kids can be particularly serious and need surgery. If you or your kids use trampolines, it is suggested that you make an appointment with a podiatrist to learn how to best stay safe.
Sports related foot and ankle injuries require proper treatment before players can go back to their regular routines. For more information, contact Emmanuel Bustos, DPM of New York. Our doctor can provide the care you need to keep you pain-free and on your feet.
Sports Related Foot and Ankle Injuries
Foot and ankle injuries are a common occurrence when it comes to athletes of any sport. While many athletes dismiss the initial aches and pains, the truth is that ignoring potential foot and ankle injuries can lead to serious problems. As athletes continue to place pressure and strain the area further, a mild injury can turn into something as serious as a rupture and may lead to a permanent disability. There are many factors that contribute to sports related foot and ankle injuries, which include failure to warm up properly, not providing support or wearing bad footwear. Common injuries and conditions athletes face, including:
Sports related injuries are commonly treated using the RICE method. This includes rest, applying ice to the injured area, compression and elevating the ankle. More serious sprains and injuries may require surgery, which could include arthroscopic and reconstructive surgery. Rehabilitation and therapy may also be required in order to get any recovering athlete to become fully functional again. Any unusual aches and pains an athlete sustains must be evaluated by a licensed, reputable medical professional.
If you have any questions please contact our office located in the Upper West Side and New York City, NY . We offer the newest diagnostic and treatment technologies for all your foot and ankle needs.

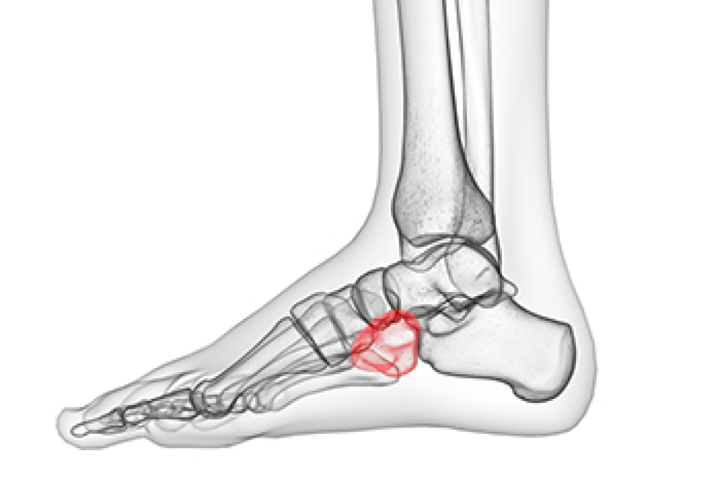
Cuboid syndrome is a painful foot condition that can significantly disrupt mobility and daily activities. It occurs when the cuboid bone becomes displaced. The exact cause of cuboid syndrome is often attributed to sudden or excessive forces applied to the foot during activities such as running, jumping, or rolling the ankle. Athletes and individuals who engage in high-impact sports or activities are at a higher risk for this condition due to the repetitive stress placed on the foot. Additionally, people who have flat feet or those who wear poorly fitting shoes may also be prone to developing cuboid syndrome. Recognizing and addressing these risk factors is crucial in preventing the occurrence of cuboid syndrome and maintaining optimal foot health. Seeking professional care promptly is essential for an accurate diagnosis and appropriate treatment to ensure a swift recovery. If you have pain in the outer part of your foot, it is strongly suggested that you speak with a podiatrist who can diagnose and treat cuboid syndrome.
Cuboid syndrome, also known as cuboid subluxation, occurs when the joints and ligaments near the cuboid bone in the foot become torn. If you have cuboid syndrome, consult with Emmanuel Bustos, DPM from New York. Our doctor will assess your condition and provide you with quality foot and ankle treatment.
Cuboid syndrome is a common cause of lateral foot pain, which is pain on the outside of the foot. The condition may happen suddenly due to an ankle sprain, or it may develop slowly overtime from repetitive tension through the bone and surrounding structures.
Causes
The most common causes of cuboid syndrome include:
Symptoms
A common symptom of cuboid syndrome is pain along the outside of the foot which can be felt in the ankle and toes. This pain may create walking difficulties and may cause those with the condition to walk with a limp.
Diagnosis
Diagnosis of cuboid syndrome is often difficult, and it is often misdiagnosed. X-rays, MRIs and CT scans often fail to properly show the cuboid subluxation. Although there isn’t a specific test used to diagnose cuboid syndrome, your podiatrist will usually check if pain is felt while pressing firmly on the cuboid bone of your foot.
Treatment
Just as the range of causes varies widely, so do treatments. Some more common treatments are ice therapy, rest, exercise, taping, and orthotics.
If you have any questions, please feel free to contact our office located in the Upper West Side and New York City, NY . We offer the newest diagnostic and treatment technologies for all your foot care needs.

Clubfoot, a congenital condition affecting approximately 1 in 1,000 births, is characterized by a child's foot turning inward and downward. It is primarily caused by a shortened Achilles tendon, resulting in misaligned bones in the foot. While about half of the affected children have bilateral clubfoot where both feet are impacted, prompt treatment is essential to avoid lifelong disability and walking difficulties. The leading cause of clubfoot is believed to be a combination of genetic and environmental factors. A family history of the condition increases the risk of clubfoot, but it can also occur without any prior family instances. Additionally, certain risk factors such as gestational diabetes, smoking, and drinking during pregnancy, can contribute to its development. Most cases of clubfoot can be successfully treated without surgery using the Ponseti method, involving progressive casting and bracing. However, severe cases may necessitate surgical intervention, which is considered a last resort. If your infant was born with clubfoot, it is strongly suggested that you make an appointment with a podiatrist immediately for early intervention and individualized treatment.
Congenital foot problems require immediate attention to avoid future complications. If you have any concerns, contact Emmanuel Bustos, DPM of New York. Our doctor can provide the care you need to keep you pain-free and on your feet.
Congenital foot problems are deformities affecting the feet, toes, and/or ankles that children are born with. Some of these conditions have a genetic cause while others just happen. Some specific foot ailments that children may be born with include clubfeet, polydactyly/macrodactyly, and cleft foot. There are several other foot anomalies that can occur congenitally. What all of these conditions have in common is that a child may experience difficulty walking or performing everyday activities, as well as trouble finding footwear that fits their foot deformity. Some of these conditions are more serious than others. Consulting with a podiatrist as early as possible will help in properly diagnosing a child’s foot condition while getting the necessary treatment underway.
What are Causes of Congenital Foot Problem?
A congenital foot problem is one that happens to a child at birth. These conditions can be caused by a genetic predisposition, developmental or positional abnormalities during gestation, or with no known cause.
What are Symptoms of Congenital Foot Problems?
Symptoms vary by the congenital condition. Symptoms may consist of the following:
Treatment and Prevention
While there is nothing one can do to prevent congenital foot problems, raising awareness and receiving neonatal screenings are important. Early detection by taking your child to a podiatrist leads to the best outcome possible.
If you have any questions, please feel free to contact our office located in the Upper West Side and New York City, NY . We offer the newest diagnostic and treatment technologies for all your foot care needs.
Connect With Us